👨⚕️ Врачи Смоленской области удалили пациенту тромб, провоцирующий поражение головного мозга
52-летний мужчина поступил в Смоленскую областную клиническую больницу с жалобами на внезапную сильную слабость и онемение в левых руке и ноге.
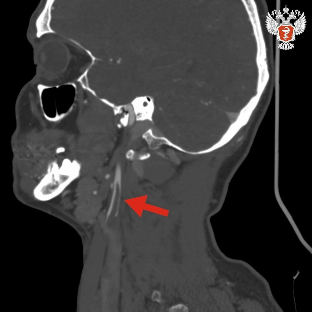
➡️ В ходе исследований врачи выявили тромб длиной около 4 см в просвете правой внутренней сонной артерии. Он нарушал кровоснабжение головного мозга. В любой момент тромб мог оторваться и закрыть магистральные артерии правого полушария, что привело бы к обширному ишемическому инсульту.
Хирурги экстренно провели операцию и удалили тромб, изъязвленную атеросклеротическую бляшку во внутренней и общей сонных артериях и восстановили анатомию сосудов.
❤️ Сейчас пациент чувствует себя хорошо.
💬 Получить MAXимум пользы для здоровья (https://max.ru/minzdrav_ru)
#МедицинаРегионов


