👨⚕ Специалисты НМИЦ онкологии им. Н.Н. Блохина Минздрава России провели аутотрансплантацию сердца при опухоли предсердия
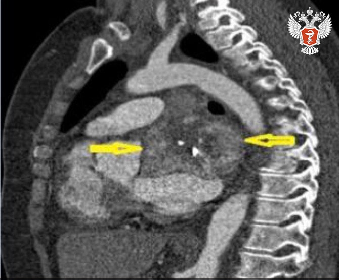
48-летняя пациентка обратилась в НМИЦ онкологии им. Н.Н. Блохина Минздрава России с диагнозом «параганглиома сердца». Опухоль поражала левое предсердие.
➡ Специалисты выяснили, что удалить опухоль стандартным способом с использованием бычьего ксеноперикарда невозможно.
Врачи решили провести аутотрансплантацию сердца — высокотехнологическую операцию, при которой орган пациента на время извлекают из грудной полости для удаления труднодоступной опухоли, а затем возвращают на место.
📌 Отделение кардиохирургии, созданное в 2023 году в НМИЦ онкологии им. Н.Н. Блохина Минздрава России, значимо повысило уровень безопасности проведения противоопухолевого лечения. Теперь все крупные полостные комбинированные операции вышли на иной технологический уровень.
— Современные технологии и мастерство российских онкохирургов, анестезиологов, реаниматологов увеличивают число онкологических пациентов, которым возможно помочь. Ранее такие пациенты выбывали из протокола, поскольку в силу других, неонкологических заболеваний, не могли получить противоопухолевое лечение в полном объеме. Сегодня мы спасаем их жизни, мы лечим пациента, а не болезнь, — подчеркнул директор НМИЦ онкологии им. Н. Н. Блохина Минздрава России Иван Стилиди.
❤ Операция прошла с минимальной кровопотерей. Сейчас пациентка уже дышит самостоятельно, у нее нет неврологических нарушений, стабильное давление и сердцебиение, а все анализы соответствуют норме.
💬 Получить MAXимум пользы для здоровья (https://max.ru/minzdrav_ru)
#БудущееМедицины

