👨⚕ Ханты-Мансийские врачи спасли малыша, проглотившего булавку
Ребенок в возрасте 1,5 лет поступил в Сургутский окружной центр охраны материнства и детства после того, как мама заметила опасность.
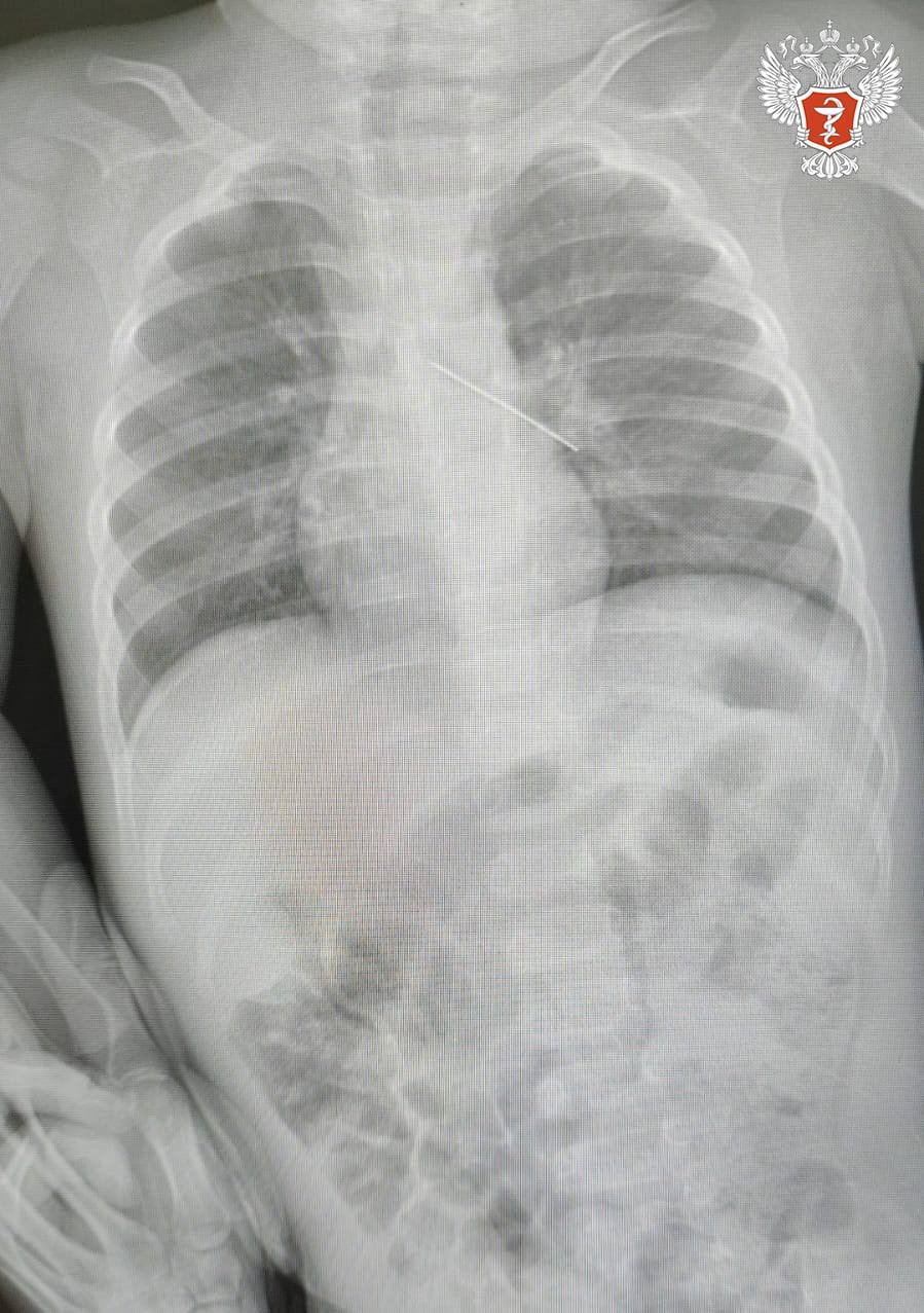
В ходе обследования врачи установили, что инородное тело оказалось в бронхах — одном из наиболее опасных мест при подобных ситуациях. Возникла угроза развития тяжёлых осложнений, включая полную закупорку дыхательных путей.
Специалисты выполнили эндоскопическое вмешательство и успешно извлекли булавку с помощью бронхоскопа.
💡Бронхоскоп — это инструмент в виде тонкой гибкой или жёсткой трубки диаметром от 3 до 6 мм, с помощью которого врач осматривает слизистую оболочку бронхов.
❤ Сейчас ребенок чувствует себя хорошо и выписан под амбулаторное наблюдение.
#МинздравПредупреждает:
Дети любого возраста, особенно младшего, во время игр могут случайно проглотить или вдохнуть мелкий предмет: детали игрушек, батарейки, магниты, колпачки от ручек. Если у ребёнка внезапно начался кашель, ему стало трудно дышать, появились боли в груди или животе или слюнотечение — немедленно обратитесь за медицинской помощью.
💬 Получить MAXимум пользы для здоровья (https://max.ru/minzdrav_ru)
#МедицинаРегионов

