🏥 Врачи НМИЦ травматологии и ортопедии им. ак. Г.А. Илизарова Минздрава России спасли девочку с редкой ортопедической патологией
Четырехлетняя пациентка поступила в НМИЦ травматологии и ортопедии им. ак. Г.А. Илизарова Минздрава России с аневризмальной костной кистой. В данном случае киста расположилась в правой бедренной кости ребенка.
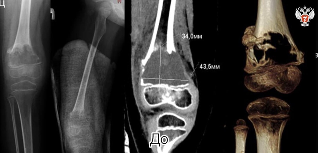
🫳 Аневризматическая костная киста — это доброкачественная опухоль кости, состоящая из множества полостей разного размера в кости, заполненных кровью.
При данной патологии здоровая кость истончается, меняется ее структура, это приводит к патологическим переломам. У пациентки киста выросла размером со спичечный коробок (34,0 мм * 43,5 мм). Произошел перелом бедренной кости.
— Ни одной кортикальной пластинки не было, киста буквально съела тот фрагмент бедренной кости, где располагалась. Совсем близко находилась зона роста, и любое промедление грозило еще более серьезными осложнениями, — рассказал заведующий отделением №6 НМИЦ травматологии и ортопедии им. ак. Г.А. Илизарова Минздрава России Сергей Леончук.
Врачи выполнили кюретаж кисты (вычистили содержимое), а образовавшуюся полость заполнили аутотрансплантатом из правой малоберцовой кости и костно-пластическим матриксом Остеолит. Таким образом, дефект правой бедренной кости был закрыт.
🫳 Аутотрансплантация — это процедура, при которой ткани или органы пациента пересаживаются из одной части его тела в другую.
Для исправления варусной деформации бедренной кости, ранней активизации пациента и создания оптимальных условий для сращения патологического перелома данного сегмента был произведен остеосинтез аппаратом Илизарова.
Классическая методика по Илизарову позволит восстановить опорную функцию конечности ребенка.
🫳 Варусная деформация — один из видов деформации коленных или бедренных суставов, при котором колени расходятся в разные стороны, стопы при этом остаются сомкнутыми.
💛 Сейчас пациентка чувствует себя лучше и продолжает проходить курс реабилитации.
#СетьНМИЦев


