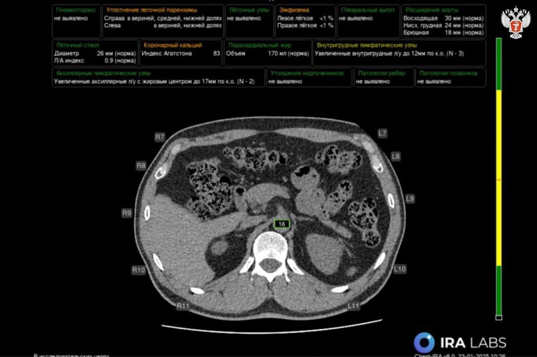
🖥 В медучреждениях Калмыкии внедряются сервисы с ИИ для расшифровки исследований
Искусственный интеллект анализирует любое исследование всего за 15 минут.
🩻 На сегодняшний день с использованием ИИ обработано более 7 тыс. исследований, патологии выявили в более 3 тыс. случаях.
Эти результаты свидетельствуют о высокой эффективности внедрения технологий в медицинскую практику, способствующих своевременному
обнаружению заболеваний и повышению точности диагностики.
🖥 Отметим, что в декабре 2024 года медучреждения Калмыкии подключилась к платформе, объединяющей 17 сервисов для анализа КТ, рентгенографии, маммографии и флюорографии.
В рамках проекта планируется до конца года обеспечить подключение всех медицинских организаций республики.
#Модернизация
#БудущееМедицины



