🔍 Новосибирские хирурги спасли мальчика с переломом позвоночника из-за тюбинга
Причиной серьёзной травмы стал тюбинг (надувные «плюшки» или «ватрушки») — довольно популярное и опасное зимнее развлечение. 9-летний Даниэль не смог вовремя затормозить, и его «транспорт» врезался в дерево.
🔎 Сначала родители обратилась в ближайший травмпункт, откуда пострадавшего мальчика госпитализировали в городскую больницу №1. В ходе обследований врачи выявили несколько повреждений позвоночника.
Врачи медучреждения связались с нейрохирургами Новосибирского НИИ травматологии и ортопедии им. Я. Л. Цивьяна Минздрава России.
🛏 Мальчика госпитализировали в детское отделение Новосибирского НИИ травматологии и ортопедии им. Я. Л. Цивьяна Минздрава России, выполнили дообследование и назначили операцию.
— В данном случае травма высокоэнергетическая — по силе удара это сравнимо с падением с высоты или автодорожной травмой. Поэтому мы, безусловно, не рекомендуем катание на «плюшках» из-за их неуправляемости — особенно на крутых склонах в необорудованных местах. Даже неосложнённый стабильный компрессионный перелом у ребёнка потребует небыстрого лечения и реабилитации, — рассказал хирург-вертебролог детского отделения Новосибирского НИИ травматологии и ортопедии им. Я. Л. Цивьяна Минздрава России Александр Васюра.
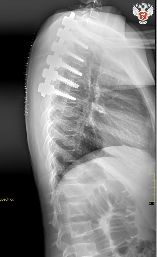
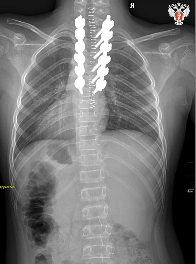
📋 Врачи стабилизировали позвонки при помощи специальной металлической конструкции. В будущем, когда имплантат выполнит свои функции, врачи удалят его.
Сейчас мальчик чувствует себя хорошо. Он может самостоятельно вставать с кровати, а в сопровождении отца — передвигаться на небольшие расстояния.
— Ребёнок уже может ходить, так как установлена надежная металлоконструкция, но ещё нельзя сидеть — три месяца после травмы. Обязательно ношение корсета и медикаментозная терапия (препараты кальция и витамин Д), — хирург-вертебролог детского отделения Новосибирского НИИ травматологии и ортопедии им. Я. Л. Цивьяна Минздрава России Александр Васюра.
🏥 После выписки мальчик будет восстанавливаться дома под амбулаторным наблюдением и временно перейдет на домашнее обучение.
#ЗдоровьеДетей
#ВрачиГерои
#МедицинаРегионов



