🏥 «Я всё время ощущала запах стирального порошка»: новосибирские нейрохирурги удалили опухоль из головного мозга молодой пациентки
Специалисты нейрохирургического отделения №1 Новосибирского НИИ травматологии и ортопедии им. Я. Л. Цивьяна Минздрава России выполнили сложную операцию по удалению большой внутримозговой опухоли у 26-летней пациентки.
Первые признаки заболевания Софья Степаненко заметила еще год назад, но не обратила на них особого внимания.
— Мне даже поначалу показалось забавным или немного странным чувствовать неожиданный запах стирального порошка. Причём не от одежды, он просто как будто был в воздухе. Затем присоединилась слабость. Ничего не болело, правда, перед появлением этого запаха было чувство дежавю — в разных обстоятельствах, просто ощущение, что эта ситуация уже происходила, — рассказывает пациентка.
👩⚕ В ноябре 2024 года девушка резко почувствовала себя плохо: слабость, головокружение, нарушения речи. Софья обратилась к врачам.
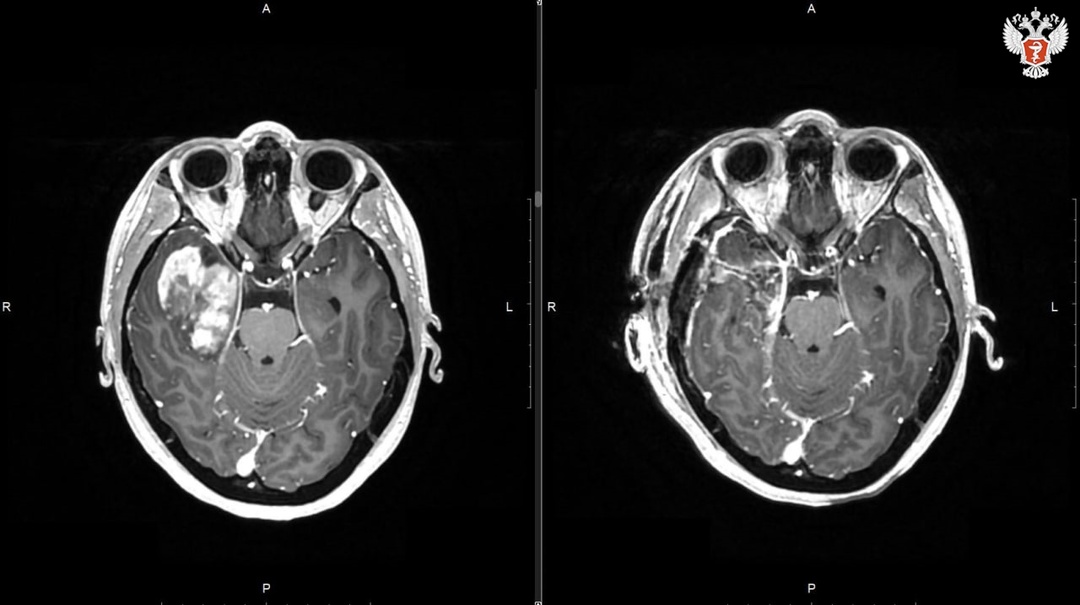
В ходе обследования врачи выявили новообразование в головном мозге. После дополнительных обследований специалисты Новосибирского НИИ травматологии и ортопедии им. Я. Л. Цивьяна Минздрава России приняли решение, что новообразование необходимо удалять.
➡ Пациентку госпитализировали в нейрохирургическое отделение №1 и после необходимых дообследований врачи провели операцию.
— Учитывая объём и локализацию внутримозговой опухоли — в правой височной доле — принято решение об открытом удалении опухоли. На операциях нейроонкологического профиля используется современное оборудование, навигационная техника, микроскоп, нейромониторинг. Благодаря использованию всех доступных технологий нам удалось удалить новообразование, — объясняет нейрохирург Сергей Мишинов.
Как отмечает врач, опухоль достаточно быстро росла — и к моменту операции практически достигла размера 4,5 см в диаметре. Без вмешательства новообразование продолжило бы увеличиваться, что могло привести к сдавлению здорового мозга и появлению неврологического дефицита.
➡ Образец удаленной опухоли отправлен на гистологическое исследование, которое определит дальнейшую тактику лечения. В настоящее время девушка хорошо себя чувствует, самостоятельно передвигается по стационару и уже готова к выписке под амбулаторное наблюдение.
#ВрачиГерои
#МедицинаРегионов


